Na maioria das vezes, o sarampo é uma doença miserável, mas que pode sobreviver. Mas raramente pode causar uma doença cerebral devastadora e universalmente fatal – que leva anos para fazer a vítima.
Médicos que escreveram no New England Journal of Medicine destacaram um desses casos em um relatório publicado no fim de semana. Eles descrevem como um menino de 7 anos desenvolveu e morreu de uma forma tardia de encefalite, ou inchaço cerebral, mais de meia década após sua infecção inicial por sarampo. Embora estes casos sejam incrivelmente raros, várias crianças já sofreram outros tipos de encefalite durante os surtos de sarampo nos Estados Unidos.
Sarampo e o cérebro
A encefalite relacionada ao sarampo pode ocorrer em várias maneiras.
A encefalite primária do sarampo é causada diretamente pelo vírus que invade o cérebro durante a infecção. A encefalite pós-infecciosa aguda é desencadeada por uma resposta imunológica prejudicial que aparece logo após a infecção ter sido eliminada, até um mês depois. Ambas as formas aparecem em aproximadamente uma em cada 1.000 crianças que contraem a infecção.
Há um terceiro tipo também, chamado panencefalite esclerosante subagudaou SSPE. A SSPE é causada pela infecção por uma cepa mutante do vírus do sarampo, que permanece persistentemente no corpo. A SSPE destrói lentamente o cérebro, com os primeiros sintomas visíveis normalmente só aparecendo 6 a 8 anos depois. Ao contrário das outras formas de encefalite do sarampo, no entanto, a PEES é essencialmente 100% fatal (houve relatos isolados de terapia medicamentosa intensa que retarda a sua progressão, mas mesmo estes casos eventualmente sucumbem).
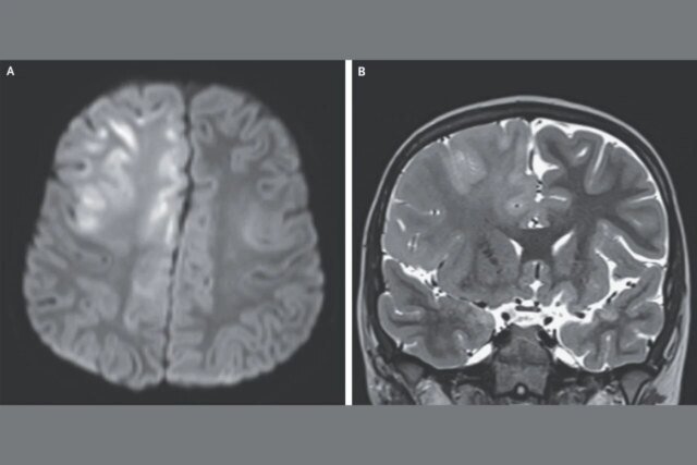
Nesse caso, o menino de 7 anos visitou o médico três meses depois de ter convulsões e declínio cognitivo. Ele não conseguia mais falar e uma ressonância magnética (vista na imagem superior) revelou extensos danos ao cérebro. O menino contraiu sarampo aos 7 meses de idade enquanto vivia no Afeganistão, país onde o vírus é endêmico. Testes de seu líquido espinhal revelaram altos níveis de anticorpos contra o vírus do sarampo. Isso, juntamente com seu histórico de infecção e resultados de EEG, levou os médicos a diagnosticá-lo com SSPE.
“Doze meses após o início dos sintomas, o paciente morreu”, escreveram os autores.
Uma lição trágica
A PEES é ainda mais rara do que os outros tipos de encefalite do sarampo. Apenas cerca de uma em cada 25.000 crianças infectadas com sarampo irá desenvolvê-lo, embora as probabilidades sejam maiores se a infecção for detectada antes de um ano de idade (um em 5.550 casos). E dada a sua natureza, levará anos para saber se algum caso recente nos EUA irá algum dia passar por isso.
Mas já estamos a começar a ver os graves impactos destes surtos actuais, totalizando agora mais de 3.000 casos desde o início de 2025. No início deste mês, as autoridades de saúde da Carolina do Sul relataram que pelo menos 19 pessoas no estado tinham sido hospitalizadas por complicações graves do sarampo, incluindo várias crianças que desenvolveram encefalite. Desde o ano passado, centenas de pessoas foram hospitalizadas nos EUA, enquanto três pessoas, incluindo duas crianças, morreram de sarampo.
Praticamente nenhuma dessas hospitalizações ou mortes teve que acontecer. A vacinação é altamente eficaz contra a infecção pelo sarampo e, mesmo quando as pessoas vacinadas contraem sarampo, é raro e apresentam uma doença mais ligeira.
“A principal forma de prevenir a infecção do sarampo e suas consequências neurológicas [consequences] é a vacinação”, escreveram os autores.
Graças à vacinação, o sarampo foi declarado eliminado nos EUA em 2000 e as taxas de vacinação a nível nacional ainda permanecem elevadas (mais de 90%). Mas esse estatuto está agora à beira de ser perdido. Se o sarampo recuperar uma posição firme no país, casos como este poderão voltar a tornar-se tragicamente comuns.












